Hírek
2016. Május 02. 13:56, hétfő |
Belföld
Forrás: mti
Terjed a tbc Szatymazon?
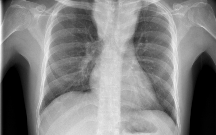
Hétfő reggel óta tbc-tesztet végeznek el a gyerekeken egy szatymazi általános iskolában, ahol egy hete fertőző tüdőbetegségben halt meg egy korábban ott dolgozó nő - közölték az M1 aktuális csatorna déli Híradójában.
A Délmagyar hírportál hétfő reggel írt arról, hogy februárig dolgozott a szatymazi iskolában közmunkásként az nő, aki tuberkulózisban (tbc) halt meg egy hete. Az ügyben rendkívüli szülői értekezletet tartottak. Az általános iskola 260 tanulója közül szülői beleegyezéssel 250-en végzik el a tbc-tesztet.
Az M1 tudósítója a helyszínről azt mondta: több szülővel beszéltek, ők nem voltak megriadva; elmondták, hogy az iskola azonnal tájékoztatta őket arról, mi történt a nővel, aki takarítóként dolgozott az iskolában február végéig. A tudósító megjegyezte, a tbc tüneteinek lappangási ideje 28-30 nap, ez az idő már letelt, de egyetlen gyereken sem tapasztaltak egyetlen tünetet sem.
Felidézték, hogy Magyarországon 1954 óta kötelező a tbc elleni védőoltás. Most az iskola diákjain biztonsági intézkedésként végzik el az úgynevezett Mantoux-tesztet, amely kimutatja, hogy védettek-e a tbc ellen. Ezt a tesztet később, három és hat nap múlva is megismétlik - hangzott el a Híradóban.
Április elején egy debreceni óvodában volt szükség hasonló intézkedésekre, mert az intézmény egyik dolgozója tüdőtuberkulózissal fertőződött meg.
Ezek érdekelhetnek még
2026. Január 29. 07:46, csütörtök | Belföld
Közösen indul az országgyűlési választásokon a Munkáspárt és a Szolidaritás Pártja
Közös indulásról állapodott meg a Munkáspárt és a Szolidaritás Pártja a 2026-os országgyűlési választásokon - közölte utóbbi szervezet szerdán a honlapján.
2026. Január 29. 07:45, csütörtök | Belföld
Háborúellenes országjárást indít a Fidelitas
Nem a mi háborúnk! címmel háborúellenes országjárást indít a Fidelitas – jelentette be a Fidesz ifjúsági szervezetének elnöke szerdán Szegeden, a kampánysorozat első állomása előtt tartott sajtótájékoztatón.
2026. Január 28. 07:39, szerda | Belföld
Varga Mihály: továbbra is indokolt a szigorú monetáris kondíciók fenntartása
Továbbra is indokolt a szigorú monetáris kondíciók fenntartása, az óvatos és türelmes monetáris politikai megközelítés - mondta Varga Mihály jegybankelnök a keddi kamatdöntő ülést követő online sajtótájékoztatóján.

