Hírek
2017. Június 01. 10:08, csütörtök |
Életmód
Forrás: mti
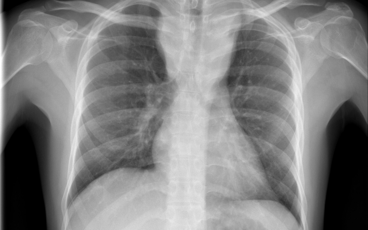
Magyarországon halnak meg a legtöbben tüdőrákban az EU-ban
Az Európai Unióban Magyarországon a legmagasabb, az összes halálok között 27 százaléknyi a tüdőrák okozta halálozások aránya - hangzott el az M1 aktuális csatorna csütörtöki műsorában.
Demjén Tibor, a Dohányzás Fókuszpont vezetője hangsúlyozta: ugyan folyamatosan csökken a dohányzók aránya, de így is a felnőtt népesség 27,5 százaléka dohányzik Magyarországon.
Ez az arány a fiatalok körében 25 százalékos, ám közülük csupán 5 százaléknyian gyújtanak rá naponta - fűzte hozzá.
Kiemelte, kevésbé ismert, hogy a dohányzás nemcsak egészségkárosodást és halált okoz, hanem jelentős környezetszennyezést is. Példaként említette, hogy a világ erdeinek 4 százalékát pusztították el a dohánytermelés érdekében és világszerte 4,3 millió hektáron zajlik dohánytermelés, jelentős műtrágya-felhasználás mellett.
A dohányipar 2 milliárd tonna szilárd hulladékot termel évente és csak Magyarországon 220 vagont töltenének meg évről évre a visszamaradt csikkek - jegyezte meg.
Az Egészségügyi Világszervezet azt javasolja, hogy egy dollárral növeljék a dohánytermékek adóját. Ez egyrészt növelné a visszatartó hatást, másrészt 190 milliárd dollár pluszbevételt eredményezne. Ezt a pénzt pedig megelőző programokra, illetve a leszokás támogatására lehetne költeni - tette hozzá a szakember.
Demjén Tibor azt mondta, a megelőzést már óvodás korban el lehet kezdeni, a gyerekek véleménye mesékkel, foglalkozásokkal alakítható.
Ezek érdekelhetnek még
2026. Április 29. 09:00, szerda | Életmód
Május 4-én kezdődnek az érettségi vizsgák
Május 4-én a magyar nyelv és irodalom, valamint a magyar mint idegen nyelv tárgyak írásbeli vizsgáival megkezdődik a 2025/2026-os tanév május-júniusi érettségi vizsgaidőszaka - közölte az Oktatási Hivatal kedden az MTI-vel.
2026. Április 28. 13:00, kedd | Életmód
Idén kisebb árvaszúnyograjzás várható a Balatonnál
Idén a tavalyinál jelentősen kisebb árvaszúnyograjzás várható a Balatonnál - közölte a Balatoni Limnológiai Kutatóintézet a Facebook-oldalán hétfőn.
2026. Április 28. 11:00, kedd | Életmód
Még tart a pollenszezon késő tavaszi legerősebb terhelésű időszaka
Még tart a pollenszezon késő tavaszi legerősebb terhelésű időszaka, egyszerre közel húszféle allergén virágpora van jelen a levegőben
2026. Április 28. 07:40, kedd | Életmód
HM: indul a jelentkezés a honvédelmi táborokba
Kezdődik a jelentkezés a honvédelmi táborokba, a Magyar Honvédség idén tizedik alkalommal indítja el a fiataloknak szóló nyári turnusokat

